Frequency of Obstructive Sleep Apnea Syndrome in Dental Patients with Tooth Wear

Frequency of Obstructive Sleep Apnea Syndrome in Dental Patients with Tooth Wear
Joaquín Durán-Cantolla, PhD, Mohammad Hamdan Alkhraisat, PhD, Cristina Martínez-Null, BSc, Jose Javier Aguirre, MD, Elena Rubio Guinea, DDS, Eduardo Anitua, PhD
ABSTRACT
Study Objectives:
To estimate the frequency of obstructive sleep apnea syndrome (OSAS) in dental patients with tooth wear, and to assess the role of dentists in the identification of patients at risk of OSAS.
Methods:
Dental patients with tooth wear and treated with occlusal splint were prospectively recruited to perform sleep study. The severity of tooth wear was established by the treating dentist before patient referral to sleep disorders unit. Sleep questionnaires, anthropometric measurements, and validated respiratory polygraphy were performed.
Results:
All patients with dental wear were offered a sleepiness analysis. Of 31 recruited patients, 30 (77% males) participated in this study. Patients’ mean age was 58.5 ± 10.7 years (range: 35–90 years) and the body mass index was 27.9 ± 3.4 kg/m2. Tooth wear was mild in 13 patients, moderate in 8 and severe in 9. The mean apnea-hypopnea index (AHI) was 32.4 ± 24.9. AHI < 5 was reported in 2 patients, AHI of 5–29 in 17, and AHI ≥ 30 in 11. A statistically significant association was found between AHI severity and tooth wear severity (Spearman R = 0.505; p = 0.004).
Conclusions:
Tooth wear could be a tool to identify those patients at risk of having OSAS. This highlights the importance of dental professionals to identify and refer patients with OSAS.
Citation:
Durán-Cantolla J, Alkhraisat MH, Martínez-Null C, Aguirre JJ, Guinea ER, Anitua E. Frequency of obstructive sleep apnea syndrome in dental patients with tooth wear. J Clin Sleep Med 2015;11(4):445–450.
INTRODUCTION
Tooth wear, the irreversible loss of tooth substance, is cumulative in nature resulting in the observation of higher tooth wear in older patients.1 Patients with dental wear may complain from hypersensitivity, pain, and aesthetic problems. The processes responsible for tooth substance loss could be chemical, mechanical or a combination of both. Several factors could affect the pattern of tooth wear, including thickness and hardness of enamel layer, pH of the oral medium, age, malocclusion, occlusal trauma and bruxism.1 Pigno et al. have reported that tooth wear has been greater in patients reporting teeth grinding/clenching.2
Tooth wear can be classified into abrasion, attrition, erosion, and abfraction. Abrasion is the loss of hard dental tissue due to exogenous objects and substances.3 Attrition is the loss of hard dental tissue due to tooth-tooth contact.3 Erosion is the loss of hard dental tissue due to chemical action not involving bacteria.4 Abfraction is the pathological loss of tooth substance caused by biomechanical loading forces that result in flexure and failure of enamel and dentin at a location away from the loading.5
Tooth wear is common and increases with age in both primary and permanent conditions. In a systematic review, Van’t Spijker et al. reported an increase in the prevalence of severe tooth wear from 3% at age of 20 to 17% at age of 70 years.6 In a recent study that recruited patients from 7 European countries, it was found that 57.1% of the patients had a maximum basic erosive wear examination (BEWE) score ≥ 1, indicating that the majority have some evidence of tooth wear. Moreover, the study concluded that nearly 30% of the young adults have a degree of tooth wear in vestibular and oral surfaces that may have important impact on oral health.7
BRIEF SUMMARY
Current Knowledge/Study Rationale: Obstructive sleep apnea syndrome (OSAS) is not adequately managed in the general population. This fact would make emphasis in identifying factors that could indicate the probability of having OSAS.
Study Impact: If confirmed, tooth wear could be a useful tool in identifying patients with OSAS. This would permit the early diagnosis and treatment of OSAS, minimizing the occurrence of medical complications associated with OSAS.
Lobezoo et al. have defined bruxism as a repetitive jaw-muscle activity characterized by clenching or grinding of the teeth and/or by bracing or thrusting of the mandible.8 Bruxism is classified according to circadian manifestations into sleep bruxism if it occurs during sleep and awake bruxism if it occurs during wakefulness.8
Bruxism is an oral pathology of interest not only for dentists but also for specialists in sleep disorders. Sleep bruxism (SB) has been associated with obstructive sleep apnea syndrome (OSAS).9–12 This later has been established as a risk factor of arterial hypertension and traffic accidents.13–17 The presence of OSAS has also been related to cardiovascular and cerebrovascular complications.13,18–21 Higher mortality has been reported among patients with OSAS.21 However, OSAS is not adequately managed in the general population, as only 10% of the population with OSAS are diagnosed and treated.22–25 This fact emphasizes the importance in identifying factors that could indicate the probability of having OSAS.
Bruxism could serve such a purpose; however, the prevalence of bruxism among middle-aged patients is estimated to be 6% to 8%.9,26 Frequently, its diagnosis is performed on the basis of questionnaires answered by the patients or information provided by the patient’s bed partner or relatives. The gold standard in the diagnosis of bruxism is polysomnography. This type of study is not accessible to all patients, and is expensive and time-consuming. There is also a risk of assuming the absence of bruxism if an episode does not occur during the performance of the test.27 Patients suspected to have OSAS may have had bruxism in the past. These issues may compromise the use of bruxism to identify patients with OSAS.
Most dentists would suspect bruxism when tooth wear is diagnosed, and they are trained to diagnose and manage tooth wear. The diagnosis of tooth wear is immediate, cheap, and depends on the clinical examination of tooth surfaces. These characteristics in addition to the association of bruxism with OSAS motivated us to perform this pilot study to analyze tooth wear in identifying patients at risk of having OSAS. In this study, we evaluated all patients diagnosed with tooth wear with a sleep study; patients were not excluded on the basis of age. We also analyzed other factors known to be related to OSAS.
METHODS
Patients were prospectively recruited between June 2011 and March 2012 at a private dental clinic in Vitoria, Spain. The study protocol was approved by the ethics committee of the Eduardo Anitua Foundation. Patient selection was based on the following inclusion criteria: age > 18 years, signed informed consent, signs of tooth wear, possible diagnosis of bruxism, and use of occlusal splint. Exclusion criteria were: previous diagnosis of OSAS, presence of other sleep disorders, use of bimaxillary occlusal splints, ASA III-IV.
Tooth wear was classified by the treating dentist as mild, moderate or severe. The tooth wear was mild (grade 1) when the loss of tooth substance was limited to the enamel, moderate (grade 2) when the loss of tooth substance extended to the dentin and was not limited to the occlusal/incisal surface but limited to less than one-third of the tooth (shortening of the tooth height), and severe (grade 3) when extensive wear of the dentin was observed affecting more than one-third of the tooth.28
Sleep Study
A validated respiratory polygraphy (Embleta Gold; ResMed, USA) was used to register the oro-nasal airflow with a probe connected to a transducer and thermistor.29,30 Oxygen saturation was measured with cutaneous pulse oximetry by finger probe, and thoracic and abdominal effort were measured with inductive plethysmography. An electrocardiogram was registered to evaluate the cardiac activity. The sleep study took place at each patient’s home.
All sleep studies were analyzed manually according to the criteria of the Spanish Respiratory Association.23 A respiratory event was identified as apnea if it had duration ≥ 10 sec and the drop in respiratory signal was > 90% of the amplitude of the reference respiratory airflow. However, if the drop in the respiratory signal was between 30% and 90%, accompanied by a drop in oxygen saturation ≥ 3%, the respiratory event was identified as hypopnea. To calculate the amplitude of the reference respiratory airflow, a mean value was calculated from amplitudes that preceded the apnea-hypopnea by 100 seconds. All events > 120 sec were excluded from the calculation.
Anthropometric data were also obtained by measuring weight, height, neck perimeter, waist perimeter, and arterial blood pressure. The body mass index was calculated by dividing the body weight in kg by the square of the body height in meters. Oropharyngeal morphology was characterized according to the classification of Mallampati.31 Sleep questionnaire and calculating the Epworth Sleepiness Scale score were performed.32 Social habits (smoking and alcohol intake), presence of systemic diseases and the intake of medicaments were also evaluated.
Statistical Analysis
Quantitative data were described by the calculation of the mean and typical deviation. Continuous variables were expressed by mean ± typical deviation and were compared with analysis of variance (ANOVA) test to compare the 3 groups of apnea-hypopnea index (AHI) scores (< 5, 5–29, and ≥ 30). Student t-test compared the groups of patients with AHI of 5–29 and those with AHI ≥ 30. Qualitative variables were expressed in number of events and were compared with χ2 test. The frequency of OSAS was calculated. OSAS correlation with the severity of tooth wear was evaluated by Spearman correlation test. Logistic multiple regression analysis was performed to estimate the probability to have tooth wear in function of the AHI after adjusting the model according to body mass index, age and sex. Statistical analysis was performed using SPSS 15.0. Statistical significance was set at p value < 0.05.
RESULTS
The study flow chart is shown in Figure 1. Thirty-one patients with tooth wear were referred to the sleep disorder unit at a private clinic (Vitoria, Spain) between June 2011 and March 2012. Only one patient did not participate in the study. The baseline demographic characteristics of the patients are shown in Table 1. The majority (76.7%) of the patients were male, and the mean age was 58.5 ± 10.7 years (range: 35–90 years). The mean BMI indicated a pre-obese overweight of the study group. The mean neck and waist perimeters were 38.5 ± 3.5 mm and 101.4 mm, respectively. The medical history revealed that 11 patients had arterial hypertension. Most of the patients were non- or ex-smokers. An alcohol intake of 36.4 ± 14.5 g/ day of ethanol was reported.

![]() |
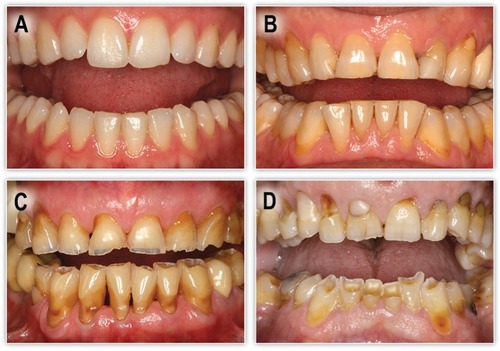
The revision of patients dental records indicated a variation in the degree of tooth wear between patients. Figure 2 represents clinical images of patients classified to have mild, moderate, and severe tooth wear. Different forms of tooth wear had been observed. Tooth attrition could be observed in Figure 2A and 2B, tooth erosion, and abfraction in Figure 2C and 2D.

Eighty percent of patients had lost ≥ 10 teeth; only 10% had lost ≥ 16 teeth. The Spearman test showed a positive correlation between age and number of missing teeth (p = 0.01). The prosthetic rehabilitation was performed with conventional fixed bridge in 1 patient, implant-supported prosthesis in 17, and a combination of both in 6. The remaining 6 patients had not any prosthesis placed. Three of them had lost only 1 tooth, and 3 had lost ≤ 7 teeth.
All patients agreed to have a sleep study, and the obtained data are summarized in Table 1. Absence of OSAS was reported in 2 (6.7%) patients, mild to moderate OSAS in 17 (56.7%), and severe OSAS in 11 (36.7%). Stratifying patient characteristics according to severity of OSAS indicated that higher values of age, BMI, neck perimeter, waist perimeter, and smoking were associated with increase in the severity of OSAS. A higher number of patients suffering from arterial hypertension and bad sleep quality was also observed when severity of OSAS increased. Similarly, decrease in the SpO2, increase in the percentage of sleep time with oxyhemoglobin saturation below 90% (CT 90), and increase in the oxygen de-saturation index were all related to increased severity of OSAS.
The patients were stratified according to the AHI and the degree of tooth wear as depicted in Table 2. Severe tooth wear was absent in patients with AHI < 5. Among the patients with AHI between 5 and 29, the majority had mild tooth loss, although severe tooth wear was present in 4 patients. A shift toward moderate (5 patients) and severe tooth wear (5 patients) was noticeable in patients with AHI ≥ 30 (11 patients).
![]() |
The correlation between AHI and the severity of tooth wear was tested by Spearman correlation test (Figure 3). The result of this test showed the presence of a statistically significant correlation between both variables and this correlation had positive direction (the increase in the severity of AHI increased the severity of tooth wear). The logistic multiple regression analysis indicated that the association of tooth wear and AHI was not affected by co-variables of BMI, age, and gender (Table 3). There was no significant correlation between AHI and the number of missing teeth nor the type of dental prosthesis.

![]() |
DISCUSSION
The main finding of the study is the high frequency of OSAS in dental patients with tooth wear. The prevalence of OSAS in this group has been three times higher than in the general population. A statistically significant correlation between the severity of tooth wear and the severity of OSAS has been found. Other co-factors like gender, age, and body mass index do not have a statistically significant influence in this positive correlation. To the best of our knowledge, this is the first work to suggest tooth wear as a factor to identify patients at risk to have OSAS.
Bruxism is a factor that could be associated with tooth wear,1 although in a recent review it has been concluded that the overall significance of bruxism as a causative factor of tooth wear is not fully known.33 Although the relation between OSAS and SB has been treated in the scientific literature,9,11 concluding evidence is still lacking. Contradictory reports on the patho-physiology of OSAS and SB are present. On one hand, it has been suggested that, at least partially, both phenomena could share common sympathetic mechanisms of activation,9–12 such that SB could act as autonomous motor reflex in response to a sleep arousal.9–12 On the other hand, recent studies have suggested that, in patients with OSAS, the activation of masseter muscles after respiratory events could be an unspecific motor activity that depends on the duration of sleep arousal rather than a response to respiratory events.34
The majority of epidemiological studies on the association between OSAS and SB have recruited patients with OSAS to report on the prevalence of SB. Sjöhlm et al. have studied 21 patients with OSAS and have found a sleep bruxism prevalence of 54% and 40% in patient with mild (AHI < 15) and moderate (AHI ≥ 15) OSAS, respectively.35 The diagnosis of sleep bruxism has been made with questionnaire, clinical examination and polysomnographic study.35 The prevalence of SB in the Sjöhlm study was higher than the general population, but had no correlation with the increase in the severity of OSAS.35 The authors have also found that 3.5% and 14.4% of episodes of apnea were accompanied by a contraction of masseter muscles in patients with mild and moderate OSAS, respectively. The authors have concluded the absence of direct relationship between apnea termination and masseter muscle contraction.35 But a possible relationship through sleep fragmentation and the increase in the resistant of the upper airways has not been excluded.
In a recent study, Hosoya et al. evaluated the prevalence of SB in 67 patients with OSAS (AHI > 5) and 16 healthy individuals as control.36 The prevalence was higher in patients with OSAS, and the risk of SB in OSAS patients had a value of 3.95 (IC 95% 1.03–15.20; p < 0.05). Interestingly, the frequency of phasic contraction of masseter muscles had a positive correlation with OSAS, arousals, and oxygen desaturation.36 However, this study used young healthy subjects as a control for middle-aged OSAS patients, and the statistical significance could be a consequence of the presence of few patients with extreme values.
In our study, we followed an opposite approach and chose to recruit dental patients with a diagnosis of tooth wear. This is motivated by the fact that the prevalence of SB decreases with age, which would limit its use as factor to identify OSAS in aged patients, and that polysomnography is not performed by dentists. Tooth wear is known to increase with age, and its diagnosis is performed by clinical examination.
The diagnosis of OSAS was made in 28 patients with a mean AHI value of 32.4 ± 24.9. This high frequency of OSAS could be related to the fact that its prevalence is higher in patients older than middle age. Thus, the positive association between tooth wear and OSAS could be explained, at least in part, by the fact that both have higher frequency in aged patients. However, the frequency of OSAS in this study was more than three times higher than its prevalence in a previous study, in which 2,148 patients with a mean age about 50 years were analyzed.22
Polysomnographic study, the gold standard in the diagnosis of bruxism, is not accessible to all patients. It is also expensive and time-consuming. Maluly et al. studied 1,042 subjects aged 20–80 years of both sexes; based on PSG findings, the authors found no association between SB and OSAS.27 There has been no significant difference in arousal index between patients with SB and those without SB. One of the study limitations, as reported by Maluly, is that patients had not received dental examination that could identify those patients with SB and with important tooth wear.27 Another limitation was that sleep study was performed on only one night, possibly missing patients with SB episodes on other nights.27 All these limitations are indicative of the enormous difficulties in performing such type of epidemiological studies.
The main advantage of the approach followed in this study is the diagnosis of OSAS in patients that have been already treated for tooth wear. All patients in this prospective study had different degrees of tooth wear and were treated with occlusal splint. These types of patients represent a relevant part of the daily dental practice and are frequently treated with occlusal splint and/or oral rehabilitation. However, most dental clinicians do not refer such patients to sleep clinic to rule out OSAS. Consequently, these patients may not have the opportunity for the early diagnosis and treatment of OSAS that could minimize the occurrence of medical complications associated with OSAS. A possibility that highlights the important role a dentist may have in the identification of patients at risk of OSAS.
This study suffers from the limitation of limited sample size that does not permit the establishment of definitive conclusions. Another limitation is that polysomnography with registration of electromyographic activity of masseter muscles has not been performed. However, in practical terms, the performance of polysomnography for the diagnosis of sleep bruxism in dental clinics is not feasible. Additionally, there is a risk of missing the diagnosis of SB if the patient has not manifested bruxism events during the night when polysomnography is performed. The absence of a control group would also limit the conclusions of this study.
This was a pilot study to assess the frequency of OSAS in dental patients with different degrees of dental wear. This should justify the performance of further studies applying a similar approach to confirm our results where appropriately matched control group is included. This study is not an epidemiological study to assess the prevalence of tooth wear and OSAS in the general population, but is a study to assess the frequency of OSAS in dental patients treated for tooth wear. Another limitation of the study is that gastroesophageal reflux disease (GERD) and the dietary patterns (diets rich in food or drinks containing a variety of acids, especially citric and phosphoric acids) were not assessed. But this type of research would increase the awareness of dentists about the OSAS and their participation in identifying patients at risk of OSAS.
CONCLUSIONS
We conclude that dental patients diagnosed with tooth wear have a high frequency of OSAS. We also found a positive correlation between the severity of tooth wear and the severity of OSAS. This significant association between tooth wear and OSAS should be confirmed in additional studies with larger sample size. This is essential to suggest the indication of sleep study in dental patients diagnosed with tooth wear.
DISCLOSURE STATEMENT
This was not an industry supported study. The authors have indicated no financial conflicts of interest.
REFERENCE: https://jcsm.aasm.org/doi/10.5664/jcsm.4602#google_vignette